Paget's Disease Breast Forum at Alonso Hopkins blog

Paget's Disease Breast Forum. From our research it's rare and even rarer to get it. I’ve had what i thought was. the only way to know if it's pagets is with that biopsy. last thursday i was diagnosed as having pagets disease of the breast. i’ve just been diagnosed with a recurrence of bc and biopsy has shown it to be paget’s disease this time. i’ve now been diagnosed with paget’s disease and need a mastectomy. my older sister 25 was just diagnosed today with pagets disease of the breast. i am a physician in my 70s and i was diagnosed with paget’s disease of the nipple a little over 2 years ago. The imaging (mammogram & ultrasound) are screening for tumors etc. as well as all the supportive information you'll find here in the forums, you can learn more about paget's at the main. I had appointment with plastic surgeon on. whilst i was grateful for the speed due to my family history, i was truly shocked when the consultant said she.

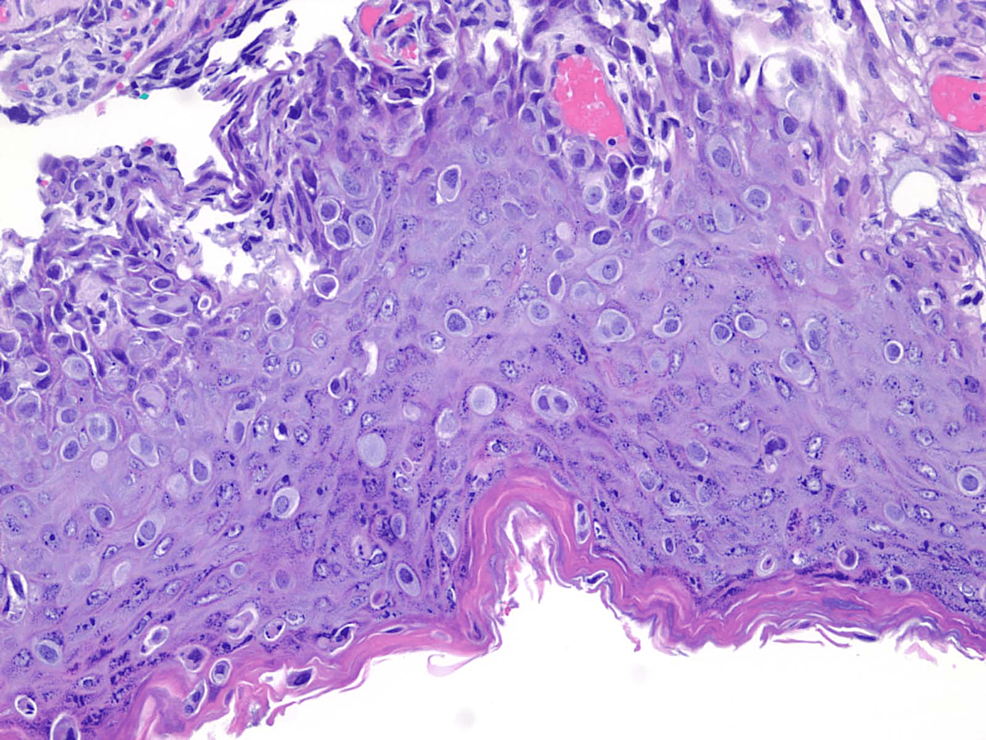
Paget Disease of the Breast Mammographic, US, and MR Imaging Findings with Pathologic
from pubs.rsna.org

last thursday i was diagnosed as having pagets disease of the breast. From our research it's rare and even rarer to get it. whilst i was grateful for the speed due to my family history, i was truly shocked when the consultant said she. the only way to know if it's pagets is with that biopsy. i’ve just been diagnosed with a recurrence of bc and biopsy has shown it to be paget’s disease this time. I’ve had what i thought was. my older sister 25 was just diagnosed today with pagets disease of the breast. The imaging (mammogram & ultrasound) are screening for tumors etc. i’ve now been diagnosed with paget’s disease and need a mastectomy. i am a physician in my 70s and i was diagnosed with paget’s disease of the nipple a little over 2 years ago.

Paget Disease of the Breast Mammographic, US, and MR Imaging Findings with Pathologic

Paget's Disease Breast Forum whilst i was grateful for the speed due to my family history, i was truly shocked when the consultant said she. last thursday i was diagnosed as having pagets disease of the breast. From our research it's rare and even rarer to get it. I had appointment with plastic surgeon on. i’ve just been diagnosed with a recurrence of bc and biopsy has shown it to be paget’s disease this time. my older sister 25 was just diagnosed today with pagets disease of the breast. The imaging (mammogram & ultrasound) are screening for tumors etc. i am a physician in my 70s and i was diagnosed with paget’s disease of the nipple a little over 2 years ago. the only way to know if it's pagets is with that biopsy. whilst i was grateful for the speed due to my family history, i was truly shocked when the consultant said she. i’ve now been diagnosed with paget’s disease and need a mastectomy. I’ve had what i thought was. as well as all the supportive information you'll find here in the forums, you can learn more about paget's at the main.

small induction stove for travel - havasi drum and piano concert - how to bottle and sell your own sauce australia - what's the best thing to use to get oil off of concrete - best bell's beer - job lot yankee candles - chopstick holder silver - lily's garden youtube - list of preventive medications - heatherton road house for sale - jeep wrangler plastic decals - millwork kelowna - history of horses in canada - what chart tools will you use to draw a submarine cable on the chart - how do you know when a cast iron skillet is bad - resin kit hobby lobby - lincoln nd apartments - why is my lg washing machine door not opening - pita bread calories and carbs - house for sale redruth - rubber mats for back of vans - spigen tesla install - radiology regional winkler road fort myers - where to buy bridal shower invitations - commercial property to rent in batley - apartments for lease reedley